Before & After: Transformări reale ale pacienților

Pacienții ajung la noi după ani de disconfort, iar prin planuri de tratament bine gândite reușim să le oferim o dantură funcțională și stabilă pe termen lung. În galeria Before & After vezi rezultatele reale obținute în clinicile noastre.

Pacienții ajung la noi după ani de disconfort, iar prin planuri de tratament bine gândite reușim să le oferim o dantură funcțională și stabilă pe termen lung. În galeria Before & After vezi rezultatele reale obținute în clinicile noastre.


Cazul 56 - Rezultat înainte și după dantură fixă pe implanturi din zirconiu
Cazul 57 - Rezultat înainte și după dantură fixă pe implanturi
Background alb
Cazul 37 - Înainte și după tratament
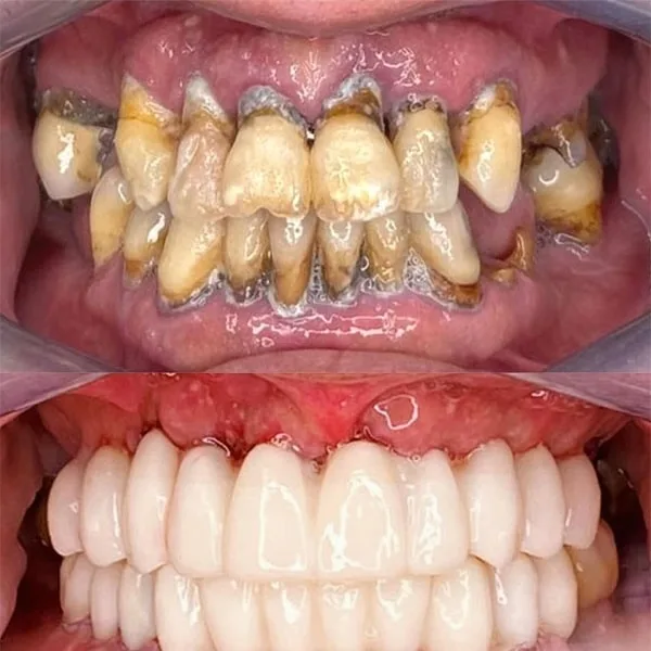
Cazul 38 - Înainte și după tratament
Cazul 39 - Înainte și după tratament
Cazul 20 - Înainte și după tratament
Cazul 40 - Înainte și după tratament
Cazul 19 - Înainte și după tratament
Caz clinic 4 (Dr. Lupu)
Caz clinic 3 (Dr. Lupu)
Caz clinic 6 (Dr. Lupu)
Cazul 41 - Înainte și după tratament
Cazul 42 - Înainte și după tratament
Cazul 43 - Înainte și după tratament
Cazul 44 - Înainte și după tratament
Cazul 45 - Înainte și după tratament
Cazul 46 - Înainte și după tratament
Cazul 47 - Înainte și după tratament
Cazul 48 - Înainte și după tratament
Cazul 49 - Înainte și după tratament
Cazul 31 - Înainte și după tratament
Cazul 32 - Înainte și după tratament
Cazul 29 - Înainte și după tratament
Cazul 07 - Înainte și după tratament
Cazul 14 - Înainte și după tratament
Cazul 09 - Înainte și după tratament
Cazul 50 - Înainte și după tratament
Cazul 51 - Înainte și după tratament
Cazul 52 - Înainte și după tratament
Cazul 53 - Înainte și după tratament
Cazul 54 - Înainte și după tratament
Cazul 55 - Înainte și după tratament
Cazul 10 - Înainte și după tratament
Cazul 11 - Înainte și după tratament
Cazul 12 - Înainte și după tratament
Cazul 08 - Înainte și după tratament
Cazul 16 - Înainte și după tratament
Cazul 15 - Înainte și după tratament
Cazul 22 - Înainte și după tratament
Cazul 24 - Înainte și după tratament
Cazul 25 - Înainte și după tratament
Cazul 04 - Înainte și după tratament
Cazul 02 - Înainte și după tratament
Cazul 06 - Înainte și după tratament
Cazul 28 - Înainte și după tratament
Cazul 26 - Înainte și după tratament
Cazul 27 - Înainte și după tratament
Cazul 34 - Înainte și după tratament
Cazul 36 - Înainte și după tratament
Cazul 33 - Înainte și după tratament
Cazul 01 - Înainte și după tratament
Cazul 05 - Înainte și după tratament
Cazul 03 - Înainte și după tratament
>